Расшифровка УЗИ щитовидной железы. Расшифровка нормальных данных по щитовидной железе на УЗИ
- Расшифровка УЗИ щитовидной железы. Расшифровка нормальных данных по щитовидной железе на УЗИ
- Признаки злокачественного узла щитовидной железы на УЗИ. Рак щитовидной железы на УЗИ: как выглядит, расшифровка результата
- Объем щитовидной железы норма. Что описывается в заключении УЗИ щитовидки
- Какие размеры узлов щитовидной железы опасны. Узелок завяжется, узелок развяжется. Насколько опасны узлы щитовидной железы?
- Неоднородная структура щитовидной железы. Объем щитовидной железы: размеры, необходимые для расчета
- УЗИ щитовидной железы норма, таблица. Показания к проведению УЗИ щитовидки
- Объем щитовидной железы в зависимости от возраста. Нормальный размер щитовидки на УЗИ
- Протокол УЗИ щитовидной железы. Эхографические признаки диффузного токсического зоба (дифференцировать с простой гиперплазией щитовидной железы) в сочетании с аденомой левой доли щитовидной железы. Протокол УЗИ
Расшифровка УЗИ щитовидной железы. Расшифровка нормальных данных по щитовидной железе на УЗИ
Щитовидная железа имеет форму буквы «Н», с овальной долей на каждой стороне трахеи, соединенных перешейком. Пирамидальный отросток, начинающийся от перешейка и развивающийся по средней линии вверх, является редким врожденным вариантом. Нарушения развития на УЗИ, такие как подъязычная щитовидная железа или односторонняя железа, также очень редки. Две нижние артерии (нижняя щитовидная артерия) входят в капсулу щитовидной железы на дорсальной стороне нижних полюсов. Две верхние артерии (верхняя щитовидная артерия), происходящие из наружной сонной артерии, входят в верхние полюса.
Щитовидная железа состоит из небольших долек, каждая из которых содержит около 25 фолликулов. Содержание фолликулов зависит от их функции. Это также определяет вид органа на УЗИ. По эхогенности вид щитовидной железы является однородным и эхогенным (нормофолликулярная стадия), что дает сильный контраст с более низким по эхогенности рисунком окружающих мышц, который может служить эталоном. Контур ровный и гладкий. Яркое эхо позади перешейка вызвано воздухом внутри трахеи. Сечение долей круглое или треугольное в поперечном сканировании и овальное в продольном направлении.
Размер каждой доли составляет 5–6 см (длина (а)) × 2–4 см (ширина (б)) × 1–2,5 см (толщина (с)). Объем всей железы составляет до 20 мл у женщин и 25 мл у мужчин и определяется путем сложения объемов (V) обеих долей, каждая из которых рассчитывается по формуле:
V =0,5 х a х b х c.
Интенсивное кровообращение может быть продемонстрировано с помощью цветных и энергетических доплеровских методов. Пиковая скорость потока в щитовидной артерии составляет менее 25 см / с.
Признаки злокачественного узла щитовидной железы на УЗИ. Рак щитовидной железы на УЗИ: как выглядит, расшифровка результата
Рак щитовидной железы – злокачественная опухоль, растущая из эпителия щитовидной железы.
Чтобы предотвратить появление поздних осложнений опухоли, необходима качественная диагностика.
Для исследования состояния щитовидной железы используют аппараты УЗИ. Эта недорогая и безболезненная процедура, которую можно проводить так часто, как необходимо, позволяет определить увеличена ли железа, есть ли в ней узелки и опухоли, узнать их размер и точное расположение.
Стоит отметить, что по УЗИ нельзя установить является ли узелок раковой опухолью. Наибольшие опасения у врачей вызывают узлы, которые плохо отражают ультразвуковую волну, имеют нечеткие и неровные края, неоднородную структуру и в которых хорошо развито кровообращение.
Признаки настораживающие в отношении рака щитовидной железы на УЗИ
- Пониженная эхогенность.
- Реже – образования имеют изоэхогенную плотность.
- Неоднородная структура (за счет кистозной дегенерации или обызвествлений).
- Нечеткие наружные контуры (отсутствует ободок отграничения от окружающей паренхимы органа).
- Многоузловая структура.
- Неправильная форма образования.
- Дорсальное ослабление УЗ-сигнала.
- Наличие микро- и кальцинатов в опухоли.
- Деформация одной или обеих долей железы.
- Гиперваскуляризация образования с наличием патологической сети сосудов.
- Реже – понижение и отсутствие кровотока в патологическом образовании.
- Увеличение регионарных лимфоузлов.
Какие причины возникновения опухоли?
Существуют предшествующие раку щитовидной железы заболевания, которые носят доброкачественный характер:
- аденома;
- зоб;
- пролиферирующая цистаденома.
Также рак развивается как следствие заболеваний:
- женских половых органов;
- других эндокринных органов;
- опухолей и дисгормональных заболеваний молочных желез;
- вред, полученный на работе.
Причины развития рака щитовидной железы
В зависимости от формы пораженных клеток, можно различить несколько видов рака щитовидной железы на УЗИ.
Рак фолликулярного типа
Причины развития могут быть следующие:
- Зоб;
- хронические воспалительные процессы в области щитовидки;
- аденома щитовидной железы;
- некоторые наследственные заболевания женской репродуктивной системы.
Вероятность возникновения увеличивается в периоды гормональной перестройки организма.
Медуллярный рак
Причины развития этого вида точно не выяснены. Установлено, что семейные формы патологии наследуются по аутосомно-доминантному типу.
Папиллярные образования в железе
Папиллярный рак щитовидной железы, который легко обнаружить на УЗИ, является самым распространенным видом рака.
Объем щитовидной железы норма. Что описывается в заключении УЗИ щитовидки
Конечно, расшифровкой ультразвуковой диагностики щитовидки заниматься должен исключительно врач, однако некоторые соответствия можно определить самостоятельно. Важно знать, что при проведении данного вида обследования учитываются такие параметры, как:
- однородность, структура и объем щитовидки;
- размеры правой и левой долей;
- строение перешейка;
- состояние рядом расположенных лимфатических узлов;
- размеры паращитовидной железы;
- структура гортанной и шейной тканей.
В норме эхоструктура должна быть однородной, без особенностей.
Нормальный объем щитовидки:
- у мужчин – не выше 25 куб.см.;
- у женщин – не больше 18 куб.см.
Однако объем органа может существенно расходиться с общепринятыми показателями, ведь при его определении необходимо учитывать и вес пациента.
Размер долей железы и толщина ее перешейка также могут различаться между пациентами. Но в медицине эти параметры все же сравнивают со следующими показателями:
- доли щитовидки должны быть приблизительно размера 4*2*2 см., причем важным считается и равность этих долей, то есть левая не должна быть больше
- правой и наоборот;
- перешейка толщина в норме не более 4-5 мм.
У детей, которые еще не достигли шестнадцатилетнего возраста, параметры, естественно, совершенно другие. Причем объем щитовидки у девочек и мальчиков одногодок может иметь разницу в 1-1,5 куб.см.
| Возраст, лет | шесть | семь-восемь | девять-десять | одиннадцать | двенадцать | тринадцать | четырнадцать | пятнадцать |
|---|---|---|---|---|---|---|---|---|
| Верхний предел объема, куб.см. | 4-5,5 | 6-7 | 7,5-9 | 9-10 | 10,5-12 | 12,5-14 | 14,5-15 | 15,5-16 |
Что касается других значений по УЗИ, то у здорового человека:
- шейные лимфоузлы не увеличены;
- контуры железы четкие и ровные;
- размер паращитовидных желез примерно равен 4*5*5 мм.
В случае подтверждения ультразвуковым обследованием нормального функционирования щитовидки, в протокол заносится следующее: патологические изменения органа отсутствуют.
А вот отклонения от норм свидетельствуют о наличии заболевания:
повышенная эхогенность и неоднородность структуры – говорят о воспалительных процессах;
уплотнения, обособленные от здоровой ткани – наличие доброкачественной опухоли (аденомы) или злокачественной (рака);
полость в форме круга с четкими краями, нормальной структурой и жидкостью внутри – свидетельствует о кисте;
увеличение объема органа – подразумевает диффузный токсический зоб;
снижение размеров и объема щитовидки – признак гипотиреоза, сопровождающийся снижением работоспособности железы;
увеличение щитовидки, ее отечность – говорят о тиреоидите – болезни, вызванной бактериями и вирусами.
Важно еще раз отметить, что все показатели условные, и только лечащий доктор сможет правильно расшифровать ультразвуковую диагностику, при этом любой специалист назначит дополнительные исследования в виде сдачи анализов крови на гормоны, на сахар, общего анализа крови, мочи и др.
Какие размеры узлов щитовидной железы опасны. Узелок завяжется, узелок развяжется. Насколько опасны узлы щитовидной железы?
На профилактическом УЗИ щитовидной железы доктор сообщил вам, что в ней обнаружен узел. Что это такое? Насколько он опасен? Что делать дальше? Об узлах щитовидной железы мы говорим с врачом-терапевтом «Клиника Эксперт Курск» Епишевой Галиной Петровной.
На профилактическом УЗИ щитовидной железы доктор сообщил вам, что в ней обнаружен узел.
Что это такое? Насколько он опасен? Что делать дальше?
Об узлах щитовидной железы мы говорим с врачом-терапевтом «Клиника Эксперт Курск» Епишевой Галиной Петровной.
- Галина Петровна, что такое узел в щитовидной железе?
Это часть ткани этого органа, которая ограничена капсулой.
- Какими бывают узлы щитовидной железы?
По количеству они бывают одиночными и множественными. Иногда происходит «спаивание» нескольких элементов, имеющих капсулу - так называемый узловой конгломерат.
Если помимо наличия узла железа увеличивается в размерах, то говорят об узловом зобе.
Образование, внутри которого обнаруживается жидкость, называют кистой.
НЕ ЛЮБОЙ УЗЕЛ ПРЕДСТАВЛЯЕТ ОПАСНОСТЬ
Узлы могут иметь доброкачественную и злокачественную природу.
- Любой узел щитовидной железы потенциально опасен? Или существуют узлы, не несущие угрозу здоровью человека?
Не любой узел представляет опасность. Ни их число, ни размеры, ни количество выделяемого гормона сами по себе необязательно указывают на злокачественную природу патологии «здесь и сейчас».
Вместе с тем нужно всегда помнить, что такие узлы нуждаются в диагностическом исследовании.
- По каким причинам возникают узлы в щитовидной железе?
Они могут появляться при недостаточности в рационе (и, соответственно, в организме) йода. Имеет значение наследственная предрасположенность, влияние ионизирующего излучения (особенно восприимчивы к нему дети).
Среди других причин - воздействие некоторых вирусов, хронический стресс.
Читайте материал по теме: Йододефицит: симптомы, диагностика и лечение
- Узлы щитовидной железы всегда сопровождаются какими-то симптомами? Или человек может не подозревать о том, что в его щитовидной железе есть наличие узла?
Бессимптомные узлы встречаются. Если узел небольшой, нет никаких гормональных нарушений, человек может и не знать о нем.
По мере того, как образование увеличивается, появляются и признаки. Оно становится видимым, может изменяться форма шеи, увеличиваются вены в этой области.
Бывают проявления сдавления соседних анатомических структур. Если узел давит на трахею, отмечается нарушение дыхания. Если на пищевод, может затрудняться глотание, быть попёрхивание. Возможно появление осиплости голоса, ощущения «комка» в горле, инородного тела в области шеи. Воротник рубашки может стать тесным.
Возможно увеличение шейных лимфатических узлов.
БЕССИМПТОМНЫЕ УЗЛЫ ВСТРЕЧАЮТСЯ.
ЕСЛИ УЗЕЛ НЕБОЛЬШОЙ, НЕТ НИКАКИХ
ГОРМОНАЛЬНЫХ НАРУШЕНИЙ, ЧЕЛОВЕК
МОЖЕТ И НЕ ЗНАТЬ О НЁМ
Если ткань узла начинает в повышенном количестве выделять гормоны, отмечаются признаки тиреотоксикоза. Среди них снижение массы тела, потливость, сердцебиение, дрожь в руках, теле, изменения со стороны глаз.
- Какую дополнительную диагностику необходимо пройти пациенту, у которого обнаружили узел в щитовидной железе?
Прежде всего, это УЗИ органа. Оно дает информацию о числе, размерах, строении узлов.
Читайте материал по теме: Что выявляет УЗИ щитовидной железы?
Для уточнения характера содержимого, его природы по показаниям выполняется пункция (прокол) и биопсия (забор кусочка ткани) узла. Чаще всего эти манипуляции проводят при размере узлов от 1 см, либо если врача что-то смущает.
Также используется сканирование железы с применением радиоизотопа, рентгенологические исследования органов грудной клетки, в том числе - компьютерная томография.
Читайте материал по теме: Чем отличаются КТ, МРТ и УЗИ?
Подбор методов исследования осуществляется лечащим врачом в зависимости от конкретной ситуации.
- Если обнаружив во время УЗИ-диагностики узел в щитовидной железе врач отправляет на пункцию, это означает, что у пациента рак?
Нет. Пункция узла выполняется для того, чтобы определить его содержимое и выяснить, идет ли речь об опухоли или каком-то ином процессе.
- От узла щитовидной железы можно избавиться без операции?
Да, консервативное лечение этих образований возможно. Используются препараты гормонов щитовидной железы и йода. Критерии назначения и схемы определяются лечащим врачом в индивидуальном порядке.
За узлами необходимо динамическое наблюдение, регулярное ультразвуковое исследование, контроль уровня гормонов.
- Галина Петровна, в каких случаях узел необходимо удалять хирургическим путём?
Если проводимая консервативная терапия неэффективна, либо узел увеличивается, то удаляется часть железы.
Операция также проводится при фолликулярной аденоме и раке железы.
Если речь идет о кисте, возможно удаление ее содержимого и введение склерозирующего препарата. Если киста большая, редицидивирует, либо имеет тонкостенную фиброзную капсулу, ее удаляют.
Неоднородная структура щитовидной железы. Объем щитовидной железы: размеры, необходимые для расчета
По европейским нормам описание в протоколе обследования должно включать 3 размера органа – ширину, глубину и длину обеих долей. Эти показатели позволяют рассчитать объем железы. Чтобы избежать ошибок при измерении, врач располагает головку датчика перпендикулярно поверхности кожи.
Форма доли щитовидной железы похожа на эллипсоид. Поэтому, чтобы определить объем, используется математическая формула для расчета объема эллипсоида: π / 6 × a × b × c (т.е. 0,524 × a × b × c). На практике чаще всего это выглядит так: V = a × b × c × 0,5, где a – ширина, b – глубина, c – длина доли щитовидной железы.
- Ширина доли щитовидной железы – это наибольшее расстояние между ее боковой и медиальной поверхностью, измеренное по горизонтали.
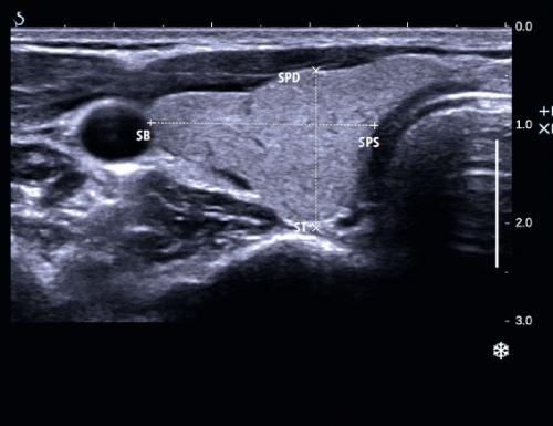
- Глубина доли щитовидной железы – это наибольшее расстояние между передней и задней поверхностями, измеренное по вертикали. Линии, обозначенные этими расстояниями, должны пересекаться приблизительно под прямым углом. Ширина и глубина доли измеряются в поперечной плоскости в месте, где эти размеры являются самыми большими, то есть обычно на высоте перешейка, в центрально-нижней части доли (рис. 4).
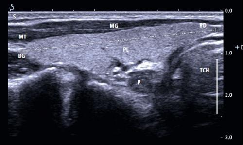
- Длина доли щитовидной железы – самое большое расстояние между ее верхним полюсом и нижним полюсом (рис. 5) . Она измеряется в продольном разрезе. Это наибольшее измерение, измеренное параллельно грудино-ключично-молочной мышце.

Правая доля щитовидной железы в поперечном сечении
Рис. 4. Правая доля щитовидной железы в поперечном сечении. Показано измерение двух размеров доли щитовидной железы: ширина (+) и глубина (×). СПД – передняя стенка доли щитовидной железы; СБ – боковая стенка доли щитовидной железы; СПС – медиальная стенка доли щитовидной железы; ST – задняя стенка щитовидной железы.

Левая доля щитовидной железы в продольном разрезе
Рис. 5. Левая доля щитовидной железы в продольном разрезе. Измеряется длина доли щитовидной железы (+). Анатомические структуры были отмечены: BG – верхний полюс щитовидной железы; БД – нижний полюс щитовидной железы (в трахее); MG – грудино-мышечная мышца; MT – грудно-щитовидная мышца; П – пищевод; PL – левая доля щитовидной железы; TCH – трахея.
Общий объем щитовидной железы вычисляется путем сложения объема обеих долей. При оценке объема щитовидной железы объем перешейка и дополнительных структур, таких как пирамидальная доля, опускаются.
Если размеры долей указаны в сантиметрах, то рассчитанный объем щитовидной железы будет выражен в миллилитрах. Нормальный объем щитовидки у взрослых в соответствии с рекомендациями Всемирной организации здравоохранения (ВОЗ) не должен превышать 18 мл для женщин и 25 мл для мужчин.
При оценке объема щитовидной железы у детей следует использовать нормы, соответствующие полу и возрасту. Показательно, однако, что можно предположить, что объем щитовидной железы в миллилитрах у ребенка > 5. не должен быть больше его возраста в годах. Если объем щитовидной железы превышает норму, можно предположить увеличение щитовидной железы или зоб. Нижний предел объема щитовидной железы не установлен.
УЗИ щитовидной железы норма, таблица. Показания к проведению УЗИ щитовидки
Прежде, чем записаться на процедуру, ознакомьтесь с важной информацией, касающейся показаний и противопоказаний. Классическое исследование УЗИ щитовидной железы рекомендуют делать регулярно в составе ежегодной диспансеризации независимо от возраста пациента и отсутствия характерных симптомов. При появлении следующих симптомов, необходимо как можно раньше записаться на прием к эндокринологу и пройти УЗ-исследование щитовидки:
- видимое увеличение объема шеи, появление уплотненного образования;
- покраснение участка шеи вблизи расположения железы;
- осиплость голоса, не связанная с простудными заболеваниями;
- затрудненное дыхание, дискомфорт во время глотания;
- повышение температуры тела в пределах 37-37,5 градусов;
- появление отечности;
- слабость, апатия, сонливость, сильная раздражительность;
- потливость, ощущение жара или, наоборот, холода;
- дрожание конечностей;
- резкое изменение массы тела;
- учащенное сердцебиение;
- облысение.
Данные симптомы могут быть индикатором сбоя функционирования щитовидной железы, поэтому требуют ее исследования посредством ультразвука. Эндокринолог может направить на УЗИ щитовидки, если при пальпации обнаружит уплотнения или пациент будет жаловаться на боль во время прощупывания железы. Прямое показание к УЗ-диагностике – неудовлетворительные результаты анализов на гормоны.
Кроме этого, стоит записаться на УЗИ щитовидной железы следующим группам людей:
- Беременным женщинам или тем, кто в ближайшее время планирует зачатие ребенка.
- Людям, проживающим в йододефицитных районах.
- Пациентам с диагностированным ожирением.
- Тем, кто принимает гормоносодержащие препараты.
УЗИ щитовидной железы также назначают пациентам с целью контроля проводимого лечения. В некоторых случаях частота прохождения такой процедуры доходит до нескольких раз в неделю, что необходимо для динамического наблюдения за реакцией железы на медикаментозную коррекцию.
Ультразвуковое исследование полностью безопасно для человека, не имеет противопоказаний, а в случае его прохождения беременной никакого влияния на плод не оказывает. Поэтому УЗИ можно делать столько раз, сколько это потребуется.
Объем щитовидной железы в зависимости от возраста. Нормальный размер щитовидки на УЗИ
Щитовидная железа – орган эндокринной системы, который находится на передней стенке шеи под гортанью, визуально напоминает бабочку, состоит из 2 долей и перешейка. Точное строение можно рассмотреть на фото.

Щитовидка находится под кожными покровами, выявить отклонения в форме или структуре эндокринолог может путём пальпации во время осмотра. Но более точную информацию о состоянии долей и перешейка врач получает после УЗИ.
Средние показатели размеров щитовидки
| Параметры | Значения |
| Объём железы (куб. см.) | Минимальный объём у женщин – 5, максимальный – . У мужчин – 25 и 28 соответственно. |
| Размер долей (см) | Длина – 2,5–4, ширина – 1,5–2 толщина – 1–2. |
| Толщина перешейка (мм) | 4–5 |
Нормы параметров щитовидки относительны, у людей, проживающих в регионах с плохой экологией, орган всегда немного увеличен, что не считается патологическим состоянием.
Нередко в ходе исследования выявляют асимметричность железы, когда одна доля больше другой – это индивидуальная особенность строения железы.
У женщин размер железы немного отличается в разные фазы менструального цикла, но при этом параметры не должны выходить за пределы нормы.
Размер щитовидки в зависимости от веса
Объём щитовидки зависит от массы тела, что считается нормой для людей с астеническим телосложением, для тучного человека – признак отклонений.
Таблица соотношения суммарного объёма щитовидки и веса
Размер щитовидки у детей
Патологии щитовидной железы возникают у детей из-за дефицита йода у женщины во время беременности, опухолей, аутоиммунных патологий, заболевания у ребёнка протекают значительно тяжелее, нежели у взрослого. Рекомендуют регулярно делать УЗИ щитовидки, особенно если ребёнок живёт в неблагоприятном регионе, у ближайших родственников были проблемы со щитовидной железой.

Нормальный объём щитовидки у детей
| Возраст | Объём щитовидки у мальчиков (куб. см.) | Объём щитовидки у девочек (куб. см.) |
| 1 | 0,84–1,2 | 0,84–1,2 |
| 2 | 1–1,5 | 1–1,5 |
| 3 | 1,4–2 | 1,3–1,7 |
| 4 | 1,8–2,5 | 2–2,6 |
| 5 | 2,1–2,7 | 2–2,7 |
| 6 | 2,3-3 | 2,1–2,9 |
| 7 | 2,8–3,8 | 2,4–3,4 |
| 8 | 3,1–4,3 | 3.1–4,3 |
| 9 | 3,2–5,2 | 3,2–5 |
| 10 | 3,6–5,5 | 4–5,8 |
| 11 | 4,2–6 | 4,5–6,5 |
| 12 | 5–6,5 | 6,3–7,6 |
| 13 | 7,1–10 | 6,7–10 |
| 14 и старше | 9–10, 5 | 8,1–10.8 |
Важно! Основные признаки нарушений в работе щитовидной железы – апатия, повышенная возбудимость, резкое изменение веса в любую сторону, перепады температуры тела, повышенное потоотделение, тремор конечностей.
Какие параметры щитовидки учитывают при расшифровке УЗИ
При диагностировании патологий щитовидной железы, учитывают не только размеры составляющих органа и общий объём, но и многие другие показатели.

- Структура – однородная зернистая. Неоднородность консистенции свидетельствует о болезнях органа, но иногда наблюдается у здоровых пожилых людей из-за повышенного содержания антител к определённым ферментам щитовидки.
- Контуры чёткие, ровные.
- Эхогенность – способность тканей отражать ультразвук. На экране участки имеют разную степень затемнения.
- Очаги с нарушением эхогенности – в норме отсутствуют. Но допускается присутствие единичных участков размером до 4 мм, которые возникают при увеличении фолликулов. Патологические уплотнения размером более 4 мм называют узлами.
- Состояние близлежащих лимфатических узлов – размеры в норме, контуры чёткие, кисты отсутствуют.
- Состояние кровотока .
Протокол УЗИ щитовидной железы. Эхографические признаки диффузного токсического зоба (дифференцировать с простой гиперплазией щитовидной железы) в сочетании с аденомой левой доли щитовидной железы. Протокол УЗИ
Название и адрес медицинского центра
_______________________________________________________
Ультразвуковое исследование
Контрон СИГМА 210, ирис. Электронные линейный датчик 7,5 МГц и конвексный - 3,5 МГц
(название ультразвукового оборудования)
Врач ______________________________________
Пациент __________________________________
Исследование № ____________ от __.__.____
Исследуемый орган ______________________
Протокол ультразвукового исследования щитовидной железы
(УЗИ шаблон (пример, бланк) протокола ультразвукового описания патологии щитовидной железы )


Щитовидная железа типичной формы и расположения, контуры ровные, чёткие, общий объём 31 куб см. (с объёмом перешейка до 35 куб. см.). Перешеек толщиной 6,5 мм., контуры ровные, эхоструктура однородная, умеренно пониженной эхогенности.
Правая доля размерами 56 х 26 х 24 мм., объёмом – 17 куб. см., контуры ровные, чёткие, эхоструктура однородная, равномерно пониженной эхогенности.
Левая доля размерами 58 х 24 х 21 мм., объёмом - 14 куб. см, зхоструктура равномерно пониженной эхогенности, неоднородная за счет гипоэхогенного узла среднего сегмента размерами 6 х 5 х 4,5 мм., имеющего правильную округлую форму, ровные четкие границы, однородное внутреннее строение.
Регионарные лимфатические узлы не визуализируются.
Заключение
Эхографические признаки диффузного токсического зоба (дифференцировать с простой гиперплазией щитовидной железы) в сочетании с аденомой левой доли щитовидной железы.
Ультразвуковая диагностика не является основным методом и требует подтверждения диагноза другими методами обследования.




